為了穿下春裝!28歲女子「一個月減重10kg」突呼吸困難 送醫一看「再拖麻煩大了」
眼瞅著即將入春,最近很多人已經買起了春裝,準備隨時切換春日模式。今年28歲的王小姐(化名)也不例外,為了穿上好看的春裝,也因為肥胖常常疲憊不堪,她暗下決心要減肥。經過堅持不懈地努力,短短一個月便成功減重10公斤。
本以為美好的生活就此開啟,可命運卻開了個殘酷的玩笑。一天,王小姐正在跳繩,突然胸部一陣劇痛,呼吸變得異常困難,心裡也發慌。
她來到杭州市一醫院瓶窯院區(餘杭三院),呼吸內科主任何立杭接診後,經過詳細問診並結合胸部CT,告訴她是自發性氣胸,便收治入院進行胸腔穿刺抽氣,並置管引流後住院5天好轉出院。

Advertisements
何立杭告訴王小姐因為劇烈運動使肺部壓力瞬間增大,導致肺泡破裂,氣體泄漏進胸腔,壓迫肺部,進而引發氣胸。
一般情況下,少量氣胸且無症狀者,可自然吸收,觀察即可,但如果不引起重視易嚴重會危及生命,麻煩就大了。
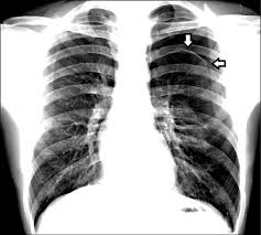
一、什麼是氣胸
肺的表面包有一層膜,稱之為臟層胸膜,胸壁內層也有一層膜,稱之為壁層胸膜,兩層胸膜之間的間隙稱為胸膜腔。
正常情況下,這個密閉胸膜腔裡面的壓力是低於大氣壓的,這樣不僅可以使肺處於擴張狀態,也能促進靜脈血和淋巴液的迴流。
而當胸部創傷累及胸壁、肺或氣管時,空氣會經創口進入胸膜腔,導致腔內積氣,這就是常說的氣胸,會影響肺擴張。
何立杭醫師表示,氣胸可分為自發性、外傷性和醫源性三類。像王小姐這樣的情況和平時大家所說「肺都氣炸了」其實就是自發性氣胸。何立杭提醒運動要注意自身情況,不要過於劇烈。
Advertisements

圖/翻攝自 自由時報
在臨床中,何立杭觀察到氣胸患者最常見的三個症狀:一是胸痛,二是呼吸困難,三是咳嗽。
1.胸痛
大部分氣胸患者有不同程度的胸痛。胸痛可突然發生,呈刺痛或脹痛,咳嗽及深吸氣時疼痛加劇。老年人感覺遲鈍,胸痛的表現往往不如年輕人明顯,容易造成早期診斷的延誤。
2.呼吸困難
常與胸痛同時發生,年輕人肺壓縮小於30%,呼吸困難不明顯。老年人多有慢性肺部疾病,且肺功能差,肺壓縮僅為10%時,會出現明顯呼吸困難。